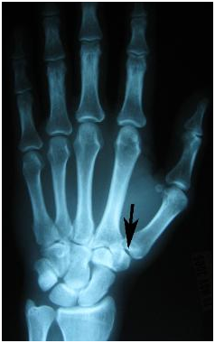
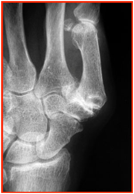
Osteoarthritis or degenerative arthritis, is a degenerative arthropathy. It involves degradation and destruction of the joint cartilage and bone. Symptoms include joint pain, stiffness, locking and sometimes, swelling as a result of a joint effusion. Any joint may develop arthritis. Arthritis of the thumb joint, is most common in the hand, in particular affecting the first carpometacarpal joint, ie base of thumb (Picture). This is a frequent site due to the high utilisation and it is relatively unstable. This occurs when the joint is damaged due to the cushioning cartilage of the joint surfaces wearing away. Pain at the base of the thumb occurs when moving the thumb and sometimes persists even at rest.
A variety of causes – hereditary, developmental, metabolic and mechanical deficits may initiate and aggravate the loss of cartilage. Ligament injuries and laxity may also exacerbate the lesion.
Diagnosis is based a combination of clinical findings as well as radiologic imaging (fig 1).

Normal joint and arthritic joint
Other diagnosis to exclude are fractures, carpal tunnel syndrome and other inflammatory joint arthritis.
Multiple treatment types include: activity modification, rest, immobilization, pain management and surgery
A resting thumb spica splint is usually prescribed in the initial stage. Supplement treatment options include various types of injections.
If conservative management does not reduce or control the symptoms, then surgical treatment may be an option.
Various surgical options are available, depending on the severity of the lesion:
Involves making two small puncture holes to enable the doctor to insert a small camera inside the affected joint.
This allows direct visualization of the condition of the articular cartilage as well as debridement and synovectomy of the joint.
Gout is an inflammatory arthropathy as a result of accumulation of uric acid crystals in the bone and joints as well as the tendons.
This may be monoarticular or polyarticular.
This is an inflammatory arthropathy, affecting multiple joints.
These patients usually have multiple joint deformity, involving the metacarpophalangeal joints, interphalangeal joints, carpometacarpal joint, distal radio-ulnar joints, wrist and carpal joints. This results in limited motion as a result of the joint destruction.
Complications can also arise as a result of the underlying rheumatoid arthritis. Examples include tendon rupture, joint degeneration and joint subluxation.
This condition refers to pain and difficulty on flexing the fingers and thumb. This can occur in any finger in the hand, and can be multiple fingers or bilateral fingers as well.
Usually there is a history of repetitive overuse, giving rise inflammation and swelling of the tendon and pulley tunnel.
The pathology is in the A1 pulley, ie a tunnel like structure at the distal palm. This results in a bottleneck like lesion and hence pain on flexion and movement of the flexor tendon in the affected finger.
Patients classically identify with a “click” on flexing or straightening the finger.
This condition is easily treated with a steroid injection. The side effects of the steroid is best discussed with the Hand specialist doctor. This may be supplemented with a trigger finger splint as well. If the above fails, surgical release of the pulley may be required.
This refers to pain on the radial, thumb side of the wrist. The pain is aggravated by turning door knobs, opening a jar, carrying a baby or heavy loads. Another common risk factor is new fathers and mothers, as well as nursing mothers.
The lesion is a result of pain and swelling of the 1st dorsal extensor compartment, ie the abductor pollicis longus and extensor pollicis brevis tendons.
This condition is easily treated with a steroid injection. The side effects of the steroid is best discussed with the Hand specialist doctor. This may be supplemented with a trigger finger splint as well. If the above fails, surgical release of the pulley may be required.
Tennis elbow is a condition whereby the outer part of the elbow is painful and sore. This is due to repetitive movement that result in tissue damage to the tendon (extensor carpi radialis brevis tendon (ECRB)). This condition is usually due to forearm rotation, overuse of the finger and wrist extensor and lifting with the forearm pronated and activities like throwing, etc. The name "tennis elbow" may be mistaken as 95% of the time, the lesion appears in non-tennis players.
Patients usually present with pain on the outer side of the elbow, especially over the prominent part of the bone on the outside of the elbow (see pic 1). This pain is intensified with gripping and extension movements of the wrist.
Patients often complain of pain that travels from the outside of the elbow to the forearm and wrist. This pain is associated with weakness of the forearm and inability to open doorknobs or handle heavy objects.
A similar condition on the inside of the elbow is known as the Golfer’s elbow.
Typically, the patient has pain in the outside prominent bone of the elbow. This is increased when the elbow is fully extended with the forearm pronated (palms up), and the wrist passively flexed.
Some other diagnosis that could be mistaken with similar symptoms are: radial tunnel syndrome and olecranon bursitis. These diagnosis have to be excluded as the treatments differ.
As with all conditions, there is a role for conservative management. With appropriate stretching exercises, as well as wearing an elbow brace (see pic 2) some conditions may improve. Corticosteroid injection may also be effective in the short term and early stages. Pain management include topical non-steroidal anti-inflammatory gels or creams that may reduce the pain.
In persistent cases, surgery may be an option. This is better discussed with your specialist doctor.